您的患者已诊断为有主动脉狭窄症状。她 85 岁,有糖尿病和高血压。您知道她存在很高的风险,不适合心脏手术,但她可能是经导管主动脉瓣修复 (TAVR) 的人选。   如今,新型成像解决方案和经皮穿刺装置,为一些到目前为止尚无其它选择的患者带来希望。  
  您的患者已诊断为有主动脉狭窄症状。她 85 岁,有糖尿病和高血压。您知道她存在很高的风险,不适合心脏手术,但她可能是经导管主动脉瓣修复 (TAVR) 的人选。   如今,新型成像解决方案和经皮穿刺装置,为一些到目前为止尚无其它选择的患者带来希望。  

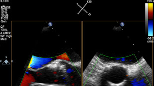
清晰的图像有助于您识别出那些符合经导管主动脉瓣修复手术条件的患者。

QLAB 可靠的量化数据。

 通过心脏团队成员之间增多的沟通,跟踪和评估介入手术。 
 
You are about to visit a Philips global content page
Continue