xMATRIX 技术让您可以清晰观察,深入探索,帮助问题解决,不论对于医生或患者,操作将变得简单便捷。
xMATRIX 是飞利浦目前最先进的多功能超声探头技术。它让您可以清晰观察,深入探索,帮助问题解决,不论对于医生或患者,操作将变得简单便捷。xMATRIX 技术实现了快速简单的容积采集,支持多重询问功能,提供了传统二维成像所无法得到的视图—并且视图都具有清晰的图像质量。帮助医生评估解剖结构和功能,轻松识别异常,充分理解三维空间内的结构关系。

您只需要触摸按钮,就可以使用 xMATRIX 单探头的所有模式:二维、三维 / 四维、实时三维超声心动、实时双平面成像 (xPlane)、实时三维放大、实时三维全容积、iRotate、实时多平面重建、多平面重建、M 模式、多普勒、彩色多普勒和 CPA。无需中断采集以切换探头。您可以在您的 PACS 系统中查看超声 xMATRIX 容积数据,和查看 CT 和磁共振图像一样。一旦获取数据,只需一键,系统就会将获取到的 X、Y、Z 轴或 iSlice 多平面重建影像传输至 PACS 系统。随时查看、分层和询问,以适应您的日程安排。

xMATRIX 矩阵探头支持广泛的临床应用,包括成人和儿童心脏检查;腹部、血管、妇产科检查;以及心脏和腹部介入手术。xMATRIX 可用于 EPIQ 7 和 CX50 xMATRIX 系统。

xMATRIX 矩阵探头提高了扫描性能的标杆。它们利用 150 块电脑板的功能,通过 2500 到 9000 多个全取样阵元实现 360 度聚焦和转向。当与飞利浦 nSIGHT 和纯净波单晶体技术相结合时,使得性能强大。
实时容积成像 可以在实时帧速率下采集并渲染全容积数据,具有高等体素分辨率。
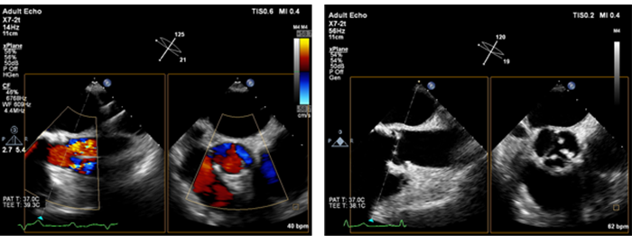
实时双平面成像 可以同时创建两个全分辨率平面,让您可以在相同的时间内获取比传统二维成像多一倍的临床信息。

扫描舒适性
在心脏检查过程中,实时任意多平面成像使您能够在一个心动周期内同时采集两个平面的图像,快速准确地获取关键信息。


iRotate 是 xMATRIX 的一项改进图像质量和工作流程的创新技术。iRotate 不采用手动旋转探头来搜索未被肋骨遮蔽的窗口,而是通过电动旋转获得声学窗口内的视图。使用 X5-1 探头,iRotate 使您不用移动探头,就能够从同一声窗完成全套负荷超声检查流程,包括采集四腔、二腔和三腔二维图像。这减轻了手腕的压力,同时也克服了心衰患者左心室肥大造成的透视缩短。
xMATRIX 矩阵探头为所有患者群体提供了不同的模式:
You are about to visit a Philips global content page
Continue